Culture Latest
Memorial Day: Don’t Forget to Remember
May 21, 2026 | CultureMemorial Day is just around the corner. Sometimes referred to as the “unofficial start to...
Government Updates Latest
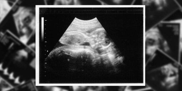
Supreme Court Restores Access to Mail-Order Abortion Pills While Legal Fight Continues
May 15, 2026 | Government Updates, LifeThe Supreme Court Thursday granted a stay blocking enforcement of a lower court ruling that...
A Danish Award-Winning Children’s Show Comes Under Fire for Featuring Naked Adults
An award-winning children’s show in Denmark is gaining international attention for featuring naked adults who answer questions about their bodies...
BREAKING: Supreme Court Justice Ruth Bader Ginsburg Has Died at the Age of 87
According to breaking news reports, Supreme Court Justice Ruth Bader Ginsburg has died at the age of 87. She was...
David Daleiden Has Filed a Defamation Lawsuit Against Planned Parenthood for its 5 Year Smear Campaign
David Daleiden, who came to national prominence as the undercover investigative journalist who exposed Planned Parenthood’s alleged illegal sale of...
Pennsylvania Supreme Court Cites ‘Natural Disaster’ and Extends Election Deadline in ‘Sweeping Victory for Democrats’
Pennsylvania was a swing state in the 2016 presidential election, giving then-candidate Donald Trump a razor-thin victory margin of 44,000...
Here are the Stories of Five Police Officers Killed in the Line of Duty this Year
Many Americans woke up in anger on Sunday morning after two Los Angeles Police Department officers were shot in the...
Trump Announces 1776 Commission to Create ‘Patriotic’ History Curriculum, Denounces Left’s 1619 Project
At the National Archives, the building that houses the Magna Carta, the Declaration of Independence and the Constitution, President Donald...